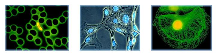
倒置荧光显微镜MHIF1000由落射荧光显微系统与倒置生物显微系统组成,采用优良的无限远光学系统,配置长工作距离平场物镜与大视野目镜。紧凑稳定的高刚性主体,充分体现了显微操作的防振要求。旋转摆入摆出式聚光系统,可对高培养皿或圆筒状烧瓶进行无沾染培养细胞观察。落射荧光显微系统采用模块化设计理念,可以安全、快揵地调整照明系统,切换荧光滤色片组件。产品可应用于细胞组织,透明液态组织的显微观察,也可用于生物制药,医学检测、疾病预防等领域内的荧光显微术观察。
倒置荧光显微镜MHIF1000技术规格:
1.标准配置
目镜 | 大视野 WF10X(视场数Φ22mm),对中望远镜 |
无限远平场消色差物镜 | 物镜 | PLL 4X0.10 |
PLL 10X0.25 工作距离:4.3 mm,盖玻片厚度:1.2mm. |
PLL 20X0.40 工作距离:8.0 mm,盖玻片厚度:1.2mm. |
PLL 40X0.60 工作距离:3.5 mm,盖玻片厚度:1.2mm. |
相衬物镜 | PLL 10X0.25 PHP2 工作距离:4.3 mm,盖玻片厚度:1.2mm. |
PLL 20X0.40 PHP2 工作距离:8.0 mm,盖玻片厚度:1.2mm. |
PLL 40X0.60 PHP2 工作距离:3.5 mm,盖玻片厚度:1.2mm. |
目镜筒 | 倾斜45˚,瞳距调节范围53~75mm. |
落射荧光照明系统 | 电源箱 110V/230V可选择,汞灯100W/DC |
荧光滤色片组 |
组别 | 类型 | 激发片波长 | 发射片波长 |
紫外+紫(UV+V) | 紫外 (UV) | 320nm~380nm | 435nm |
紫(V) | 380nm~415nm | 475nm |
蓝+绿(B+G) | 蓝(B) | 450nm~490nm | 515nm |
绿(G) | 495nm~555nm | 595nm |
调焦机构 | 粗微动同轴,带锁紧和限位装置,微动格值:2μm. |
转换器 | 五孔转换器 |
载物台 | 固定载物台尺寸:227mmX208mm;玻璃圆载物台板尺寸:Ф118mm. |
机械式移动尺寸,移动范围:纵向77mm,横向114mm |
培养皿托板一 | 内槽尺寸:86mm(宽)X129.5mm(长),可适配圆形培养皿Ф90mm |
培养皿托板二 | 内槽尺寸:34mm(宽)X77.5mm(长),可适配圆形培养皿Ф68.5mm |
培养皿托板三 | 内槽尺寸::57mm(宽)X82mm(长)可适配圆形培养皿Ф60mm |
培养皿托板四 | 内槽尺寸::29mm(宽)X77.5mm(长)可适配圆形培养皿Ф35mm |
透射照明系统 | 转盘式相衬离聚光镜,工作距离55mm, |
12V30W卤素灯,亮度可调;磨砂玻璃,蓝、绿滤色片 |
2.选配件
目镜 | 10X分划广角目镜(Φ22mm),格值0.1mm/格 |
物镜 | 无限远平场消色差 PL 5X/0.12 W.D26.1 |
转换器 | 六孔(内向式滚珠内定位) |
样本适配器 | 孔座最大直径50.5mm,中心距离63mm,适配外径50mm培养皿观察 |
孔座最大35.5mm,适配外径35mm培养皿观察 |
孔座最大尺寸51.5X74.5mm,适配T25型培养皿观察 |
孔座最大尺寸66.5X66.5mm,适配66X66mm方形培养皿观察 |
孔座最大尺寸76.6X26.2mm,适配标准载玻片样品观察 |
CCD接头 | 0.4X,0.5X,1X,0.5X带分划尺,格值0.1mm/格 |
显微镜摄像头 | USB2.0 | MHD500 |
USB3.0 | MHC600、MHD600、MHD800、MHD1200、MHD2000、MHD2100、MHS500、MHS600、MHS900、MHS2100 |
倒置荧光显微镜MHIF1000应用实拍:
